Koronavirusa yoluxmuş xəstənin ağciyərləri bu günə düşür - FOTO
02-02-2020 [18:05]
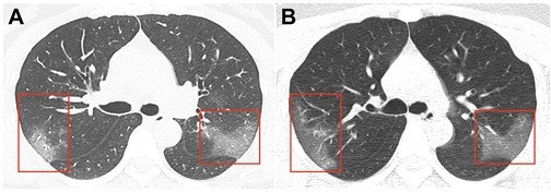
Çin həkimləri 2019 nSoV koronavirusuna yoluxmuş pasiyentin ağciyərlərinin şəkillərini yayıblar.
Bu barədə Radilogy" jurnalına istinadən xəbər verir.
Jurnalda dərc edilmiş təsvirlər Çinin Lançjou şəhərində 39 dərəcə temperaturla xəstəxanaya yerləşdirilmiş 33 yaşlı qadının kompüter tomoqrafiyası nəticəsində alınıb.
Birinci şəkildə "tutqun şüşə effekti”ni yaradan bulanıqlıq görünür. Üç gün sonra çəkilmiş ikinci şəkildə isə virusun genişlənmiş sahəsini görmək mümkündür.
"Epidemioloji xüsusiyyətlərə, klinik təzahürlərə, döş hüceyrələrinin şəkillərinə və laboratoriya məlumatlarına əsasən, 2019 nCoV sətəlcəm diaqnozu qoyuldu", - deyə nəşr bildirib/Report.
Qarabağ əlili "Azəriqaz"ı məhkəmədə uddu, SOS verdi - "Məhkəmə qanunsuz qərarı ləğv etdi, mən işimə bərpa olundum"
ABŞ vitse-prezidenti Bakıya gəlir
Bu gün sizi nə gözləyir? - BÜRCLƏR
Beynəlxalq Bank “Bank BTB”ni "ələ keçirir"
Daha dörd nəfər qazdan zəhərləndi
Xarici İşlər Nazirliyində yeni təyinat olub
“Turan-Tovuz” ona xor baxan azarkeşinə necə dərs verdi? - Doğma stadion üçün qəribsəmə zamanıdı
İcra başçısı aparıcı olan həyat yoldaşı barədə tez-tez niyə paylaşım edir? - FOTOLAR
General-leytenant təqaüdə göndərilib
Bəzi bölgələrdə güclü külək əsəcək - Xəbərdarlıq
Tural Həsənliyə vəzifə verildi - Kamran Əliyev yeni əmr imzaladı
Salyanda yeniyetmə qız qızdırmadan ölüb
Şəmkirdə 30 yaşlı kişi 69 yaşlı qadını öldürüb
Sabiq deputat: "Saleh Məmmədov əlinin altında xeyli sayda reket jurnalist saxlayırdı" - "Onun saat kolleksiyasının dəyəri bir neçə milyon dollardır"
AFN.az-ın 14 yaşı tamam olur
Sabah hava necə olacaq? - Proqnoz
Ceyhun Bayramov Pakistan XİN başçısına zəng edib
Allahşükür Paşazadə Vatikana gedir
Azərbaycan neftinin qiyməti 71 dollara qalxdı
“İmişli”nin xəbəri var ki, çay içəndən sonra qaçıb haraya gedirik?
“Turan” əhəmiyyətli qələbə qazandı - Kubok oyunlarında gərgin intriqa havası başlayır
Bu gün sizi nə gözləyir? - BÜRCLƏR
Qəbələdə "Qış nağılı" II Beynəlxalq Musiqi Festivalının açılışı olub
"Qalatasaray" 30 milyon avroya satdığı futbolçunu geri qaytardı
Sabiq səfirlə bağlı istintaq başlayıb - London polisi diplomatın evində axtarış aparıb
İordaniya Kralı Türkiyəyə gəlir
Ankarada polis öldürülüb - Döyülərək...
SALEH MƏMMƏDOV VƏZİFƏDƏN ÇIXARILDI, YERİNƏ NAZİR MÜAVİNİ GƏTİRİLDİ - Prezident sərəncam imzaladı
Azərbaycan Rusiyaya nota verdi - Səfir XİN-ə çağırıldı və...
Prezident İlham Əliyev Fərman imzalayıb
Prezident daha bir fərman imzaladı - Dəyişiklik
8 AY SONRA ABŞ və İRAN RƏSMİLƏRİ BİR ARAYA GƏLDİ - Ommandakı tarixi görüşdən ilk açıqlama
Bakıda ağac kəsənlər prokurorluğa verildi
Yanvarda vurulan ən yaxşı qol... - PFL müəllifi açıqladı
10 gün əvvəl əsgər gedən Coşqun Sadıqov hospitalda vəfat edib
QHT sədri qəzada ölüb
Aİ Maskın təhqir etdiyi Baş naziri müdafiə etdi
Dollar neçəyə olacaq? - Mərkəzi Bank 3 günlük məzənnəni açıqladı
"Ruslan təcridxanadadır, üstəlik bu dəqiqə xəstədir" - Vəkildən yayılan xəbərə reaksiya
TEMU QALMAQALI: "Mənim paltarlarım çox böyük ölçülərdir, sizə yaramaz" - Müğənni gömrükçülərə çağırış etdi
Bakıda və rayonlarda külək güclənəcək - Xəbərdarlıq